做牙齿矫正时,很多患者有两大“害怕”,一怕拔牙,二怕打骨钉。在自己的口腔内打入一颗钉子,听上去就感觉很疼。其实骨钉个头虽小,但它在牙齿矫正的过程中,发挥着非常重要的作用。今天我们就来聊聊骨钉的那些事。
骨钉是什么
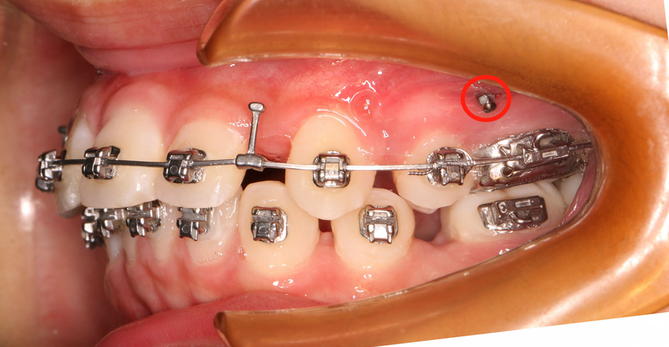
成都瑞泰口腔正畸专家井芳副主任医师介绍到,骨钉又叫支抗钉,在学术上又被称为微小种植支抗。外形与普通钉子相似,但是体积很小,一般长度为7~9mm,直径只有1.5mm。因功能优越,植入简单,已成为矫正治疗日渐普及的辅助工具,矫正结束后便会移除骨钉,而骨钉缺口会自行复原长好,国内外研究报告都显示,骨钉可以安全有效地帮助矫正治疗。

正畸打骨钉的原理和特点
正畸打骨钉是一种通过在牙齿或颌骨上施加微小的力量来移动牙齿的技术。医生会先将一个微型钛钉植入牙齿或颌骨中,然后通过牵引和扭转的方式,使牙齿按照预期的方式移动。这种技术的优点在于,它可以直接控制牙齿的移动,从而加快矫正过程。

为什么会使用骨钉呢?
成都瑞泰口腔井芳医生说,其实在正畸过程中我们的牙齿是需要向后移动的,如果我们的所有牙齿向后移动,那么它就需要一个向后的力量。而这个向后的力量必然是要在我们的牙槽骨上部施加一个骨钉,使我们的骨钉和牙槽骨完全愈合之后在骨钉上施加一个弹簧或一个橡皮线,系在正畸钢丝上。使我们的牙齿整体向后移动。

正畸打骨钉疼不疼?
对于大部分人来说,打骨钉的过程是不会感到疼痛的。在专业医生的指导下,整个过程可以在麻醉的状态下进行,因此你不会感到任何疼痛。然而,有些人可能会在术后感到一些不适,但这通常是在可承受范围内的。这些不适可能包括轻微的疼痛、肿胀和瘀伤,但这些症状通常会在几天内消失。
成都瑞泰口腔正畸专家井芳医生介绍说,正畸打骨钉是一种安全且有效的技术,可以帮助你拥有美丽的笑容。虽然在某些情况下可能会感到一些不适,但这种不适通常是在可承受范围内的。如果你对打骨钉感到紧张或不安,请记得向医生咨询,他们将为你提供专业的建议和帮助。了解正畸打骨钉这一技术,能让大家在正畸治疗过程中更加自信和安心。
瑞泰口腔简介
瑞泰口腔品牌隶属于国内知名口腔连锁机构瑞尔集团旗下,将医疗质量作为基业长青的信条,肩负着为更多国人口腔健康保驾护航的使命。2012年在北京成立瑞泰口腔医院后,陆续进入成都、重庆、西安、青岛、长沙、上海、无锡、大连、靖江等多个城市,设置了多家分支机构,全国现拥有门诊及医院120余家,成都地区现有1家医院,7家门诊。

成都瑞泰口腔数字化正畸中心是瑞尔齿科集团西南首个针对美学修复及矫正进行数字化分析的研究中心,正畸中心医生团队拥有四川大学华西口腔医学院、武汉大学口腔、兰州大学等院校教授、博士及硕士等医学背景,几乎覆盖了国内相关专业的主要流派。其主要开展各类成人、儿童正畸治疗。作为中国正畸技术的推广及发展重要专科机构之一,现已成功完成上万例正畸案例,深受成都乃至西南地区顾客信赖及好评。
在卷王频出的现在,他们都在你看不见的地方悄悄努力,不想被大家甩开距离,请拿好你的逆袭剧本,一口整齐漂亮的牙齿不仅能够为颜值加分,还能给人留下良好的社交印象,成都瑞泰口腔医院夏日矫正狂欢季火热进行中,颜值逆袭,赶紧参与吧。


